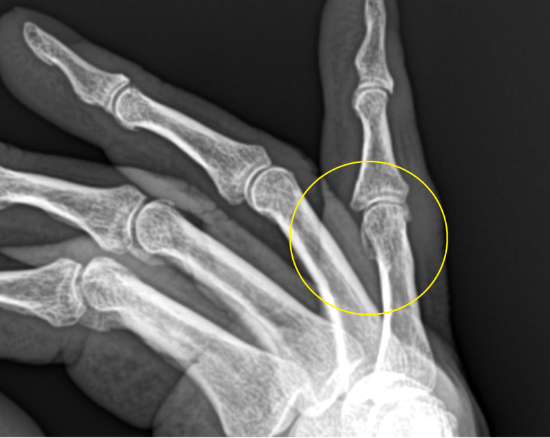
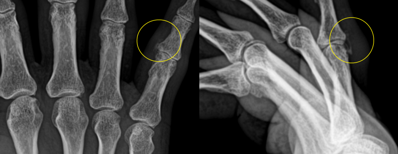
손가락 석회[석회성 건염]

안녕하세요 근세가 손가락 석회가 생겨서 몇 달째 고생하고 있어요.저번에 병원갔다가 계속 치료를 했어야 했는데 초롱이가 하늘나라 보내고 그 전후로 병원을 못가서 좀 오래가는 것 같아요… 그리고 전에 포스팅하고 조회수 보니까 석회때문에 고생하는 분들이 많으신가봐요.

먼저 오자마자 초음파를 봤어요 석회의 크기가 전과 별 차이가 없네요.다시 한번 제대로 치료를 하기로 했어요.-치료방법-1.주사요법2.충격파3.석회흡입술

먼저 한 번 더 주사를 맞았어요.아픕니다 그리고 충격파를 하러 갑니다충격파 기계입니다. 벌써 11번째입니다.저걸 손석회 부분에 맞춰서 강도 조절하면서 쏠게요 처음에는 1단계도 많이 아팠는데 오늘은 7단계나 했는데 괜찮았어요.정말 좋아지고 있는 것 같아요.저렇게 선생님이 석회가 있는 부분에 맞춰서 충격파를 하는 느낌이 미묘하고 아픕니다.그리고 오늘도 두 가지 물리치료를 하고 집에 돌아왔습니다. 보통 주사나 충격파로 치료됩니다만 석회건염은 통증의 강도가 10이면 9 정도라고 합니다. 10은 흔히 암환.여러분의 고통이라고 하는데 이 석회건염이라는 게 굉장히 아프실 테니까 오래되고 고통이 심하신 분들은 석회흡입술을 알아보는 것도 좋아요.https://www.youtube.com/watch?v=Q4uJfJlf4xo&pp=ygUi7IaQ6rCA6529IOyEne2ajFvshJ3tmozshLEg6rG07Je8XQ%3D%3D